+35
Сохранить Сохранено 7
×

Новая модель ИИ превратила скромный рентген в гибридный аппарат


Новая модель ИИ превратила скромный рентген в гибридный аппарат

© Shutterstock

Рентген часто назначают самым разнообразным пациентам, однако он не даёт полной картины органов грудной клетки, поскольку представляет собой статичное изображение. Поэтому врачи вынуждены также назначать эхокардиограмму, которая позволяет оценить эффективность работы клапанов сердца. Тем не менее не все пациенты могут пройти это обследование, к тому же для него нужен специалист с особыми навыками.

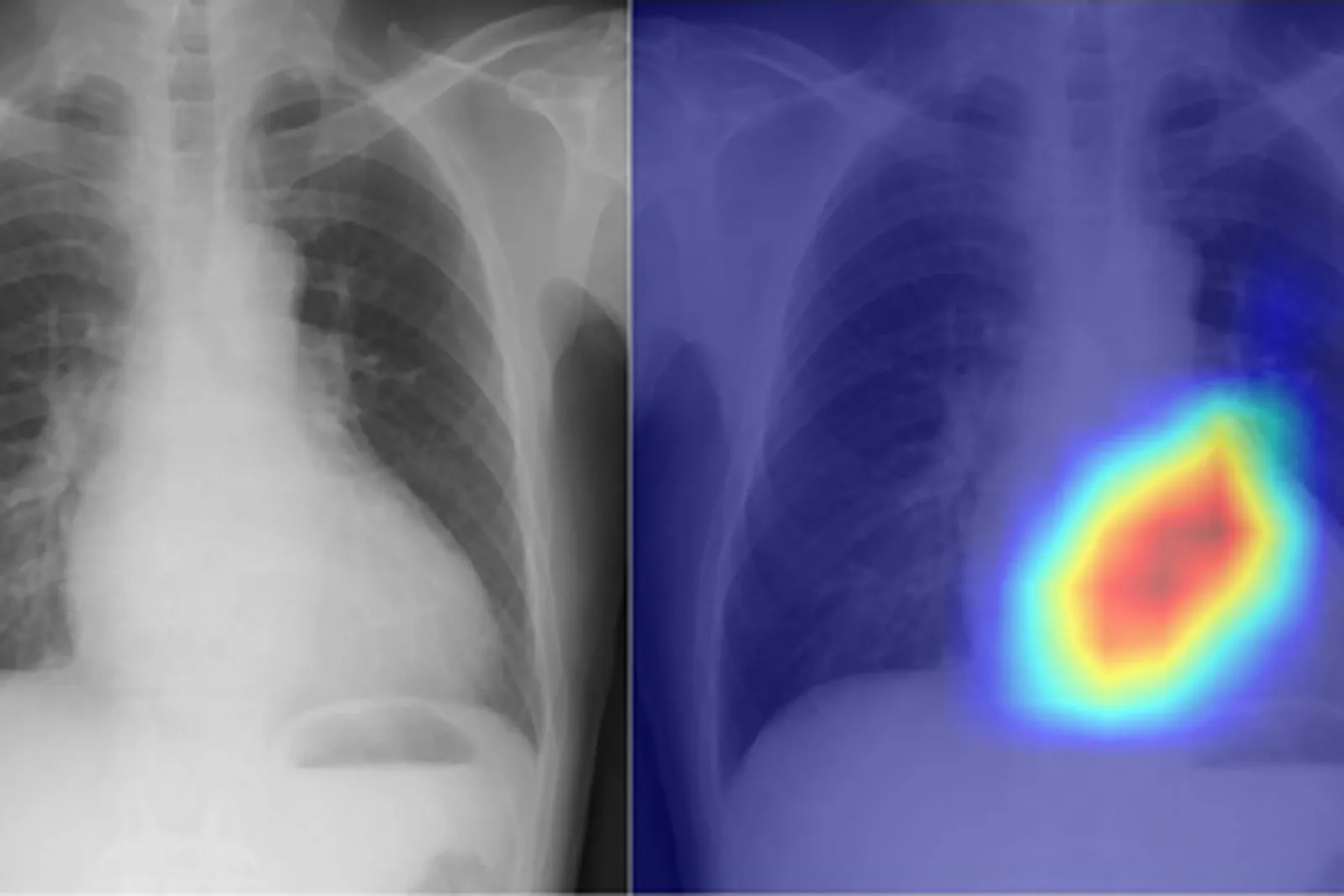
Поэтому исследователи из Осакского университета (Япония) разработали особую модель искусственного интеллекта, использующую глубокое обучение, чтобы превратить рентген в более подробный диагностический инструмент. Глубокое обучение — это процесс, который позволяет компьютеру буквально имитировать человеческий мозг для обработки данных. Модель способна распознавать сложные закономерности в тексте, изображениях, звуках и прочем.

Искусственный интеллект превратил скромный рентген в мощный диагностический инструмент.
Искусственный интеллект превратил скромный рентген в мощный диагностический инструмент.© aiju Ueda/OMU

Японский ИИ был обучен при помощи 22 551 рентгеновского снимка и такого же количества эхокардиограмм, полученных от 16 946 пациентов в 2013–2021 годах. Рентгеновские снимки были заданы в качестве входных данных, а эхокардиограммы — в качестве выходных, при этом модель должна была связать оба набора данных.

В процессе тестирования исследователи обнаружили, что ИИ способен точно классифицировать шесть типов пороков сердца. Точность модели при этом составила около 90%, что является очень высоким уровнем для такого типа программ. Команда надеется, что этот новый подход поможет врачам дополнить данные, полученные благодаря разным обследованиям, особенно когда требуется быстрая диагностика.


  • Телеграм
  • Дзен
  • Подписывайтесь на наши каналы и первыми узнавайте о главных новостях и важнейших событиях дня.

Нам важно ваше мнение!

+35

 

   

Комментарии (0)