+33
Сохранить Сохранено 7
×

Впервые ВИЧ обнаружен спящим в клетках человеческого мозга


Впервые ВИЧ обнаружен спящим в клетках человеческого мозга

©​​​​​​​ Shutterstock

Новое исследование при Университете Северной Каролины (США) доказало то, что ученые подозревали долгое время: вирус иммунодефицита человека (ВИЧ) способен дремать в мозге. Опасная болезнь прячется в микроглии, которая является частью иммунной системы мозга и выступает резервуаром для вируса, ожидающего своего часа.

Раньше было очень сложно получить эти доказательства, поскольку слишком опасно брать образец головного мозга у пациентов, больных синдромом приобретённого иммунодефицита (СПИД). Прорыв произошёл благодаря специальной исследовательской программе, в рамках которой люди с ВИЧ согласились пожертвовать свои тела науке после смерти.

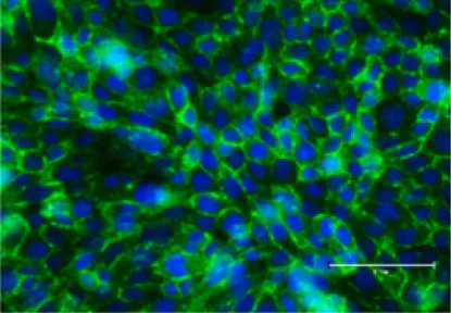
ВИЧ-инфицированная микроглия.
ВИЧ-инфицированная микроглия.© unchealthcare.org

Исследование показало, что ВИЧ не только спит годами в небольшом количестве инфицированных клеток крови, но и прячется внутри мозга. Это состояние известно как латентность, когда вирус остаётся бездействующим в течение многих лет, а затем может начать размножаться, вставляя копии своего генетического материала в клетки хозяина. По мере того как клетки уступают вирусу, у человека стремительно снижается иммунитет, что приводит к летальному исходу от вторичных болезней.

Даже если пациента удалось стабилизировать, вирус может остаться в его клетках и затем возникнуть снова. То, как инфекция скрывается в микроглии, по-видимому, отличается от того, как ВИЧ спит в лейкоцитах, поэтому учёные стремятся понять, как вирусу удаётся так долго скрываться в мозгу. В этом ВИЧ похож на рак. Лечение должно гарантировать, что болезнь больше никогда не вернётся.


  • Телеграм
  • Дзен
  • Подписывайтесь на наши каналы и первыми узнавайте о главных новостях и важнейших событиях дня.

Нам важно ваше мнение!

+33

 

   

Комментарии (0)