+63
Сохранить Сохранено 7
×

Виртуальное вскрытие пролило свет на странную смерть ребёнка XVII века


Виртуальное вскрытие пролило свет на странную смерть ребёнка XVII века

© frontiersin.org

Исследователи из Академической клиники в Германии провели «виртуальное вскрытие» мумифицированного младенца, который родился в аристократической австрийской семье в XVII веке, и обнаружили любопытные подробности.

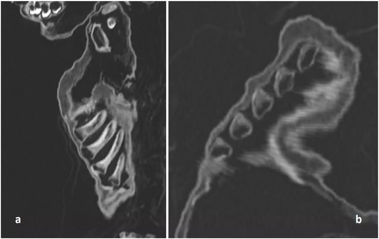
Судя по всему, ребёнок умер от избыточного веса и недостатка солнечного света. На это, по крайней мере, указывают характерные для рахита разрастания реберных суставов, вызванные нехваткой витамина D, а также толстые слои жира.

Учёные нашли останки младенца в деревянном гробу без опознавательных знаков, который стоял в склепе возле замка в Австрии. Благодаря постоянному притоку воздуха и стабильной температуре тело хорошо высохло и мумифицировалось, что является большой редкостью и ценной находкой.

Радиоуглеродный анализ тела позволил исследователям предположить, что ребёнку было от 10 до 18 месяцев и он был похоронен примерно 400 лет назад. Учитывая приблизительный возраст младенца на момент смерти и шелковые накидки, свидетельствующие об аристократическом происхождении, возможно, это Райхард Вильгельм — первенец графа Штархемберга, живший в 1625–1626 годах.

Виртуальное вскрытие выявило у ребёнка рахит и возможную цингу, - следствие острой нехватки витаминов.

Виртуальное вскрытие выявило у ребёнка рахит и возможную цингу — следствие острой нехватки витаминов.

© frontiersin.org

Основываясь на компьютерной томографии тела, команда подтвердила, что ребёнок был мальчиком, а размеры его костей и прорезывание зубов соответствовали годовалому возрасту. Сканирование реберных костей также выявило рахит, который возникает в первую очередь из-за недостатка солнечного света.

Однако умер маленький лорд от пневмонии. Ослабленный организм просто не мог сопротивляться инфекции. Также интересно то, что это был единственный ребёнок, похороненный в простом гробу, а не роскошном.

Как заключают учёные, сочетание ожирения с тяжелым дефицитом витаминов можно объяснить тем, что ребёнка кормили неправильно и не выносили на улицу. Неясно, является ли эта аномалия жизни и смерти обычной для данного исторического промежутка, однако уровень ранней младенческой смертности в эпоху Возрождения был высоким.

  • Телеграм
  • Дзен
  • Подписывайтесь на наши каналы и первыми узнавайте о главных новостях и важнейших событиях дня.

Нам важно ваше мнение!

+63

 

   

Комментарии (0)