В Москве разработан атлас изменений органов человека при смерти от COVID-19
- 28 мая 2020 15:16
- Максим Котов, Журналист «Ридуса».
Департамент здравоохранения Москвы представил атлас «Патологическая анатомия легких при COVID-19».
Московские специалисты первые в мире систематизировали случаи тяжелейших и часто необратимых патологических изменений органов у умерших от коронавирусной инфекции.
Как отмечают в столичном депздраве, атлас поможет лучше понимать, что еще может влиять на состояние пациента, зараженного коронавирусом.
В документ вошел перечень клинических особенностей COVID-19, приведены патологические аномалии при коронавирусной инфекции, а также представлена дифференциальная диагностика изменений легких при COVID-19 с патологией, вызванной другими инфекционными факторами.

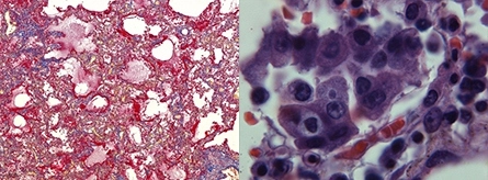
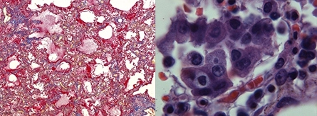
Гистология. Тяжелое повреждение ткани легких. Уродливые клетки альвеол легких, где размножается вирус
В ведомстве рекомендуют атлас всем врачам для использования в практической деятельности.
Ранее депздрав Москвы представил данные смертности от COVID-19 в столице за апрель. Согласно методике учета, рекомендуемой ВОЗ, смертность в Москве оказалась одной из самых низких.
Летальность от коронавируса в Москве за апрель составляет от 1,4% (если учитывать только случаи, где он явился основной причиной, как с подтвержденным, так и с отрицательным лабораторным тестом) до 2,8% (если учесть всех, у кого коронавирус был лабораторно подтвержден, и всех умерших от других причин с подтвержденным ковидом, даже при полном отсутствии пневмонии). Это, бесспорно, ниже, чем даже по данным официальных сайтов городов Нью-Йорк (10%) и Лондон (23%), — подчеркнули в ведомстве.
В депздраве Москвы подчеркивают, что показатели смертности за май будут выше апрельских: «На конец апреля пришелся пик заболеваемости коронавируса в Москве. А между пиками заболеваемости и смертности как раз проходит около 2—3 недель. Эти показатели также будут проанализированы и открыто опубликованы».
- Телеграм
- Дзен
- Подписывайтесь на наши каналы и первыми узнавайте о главных новостях и важнейших событиях дня.

Войти через социальные сети: