+33
Сохранить Сохранено 7
×

У людей с постоянными мигренями впервые обнаружены изменения мозга


У людей с постоянными мигренями впервые обнаружены изменения мозга

©​​​​​​​ Wilson Xu

Впервые за всю историю учёные из Университета Нью-Йорка (США) обнаружили уникальные изменения в мозге, которые есть только у людей, страдающих от постоянных приступов мигрени. У пациентов были обнаружены структурные особенности в полуовальном центре — центральной области белого вещества, расположенной под корой головного мозга.

В ходе исследования на МРТ были просканированы десять человек с хронической мигренью, десять человек с эпизодической мигренью без ауры и пять здоровых  человек из контрольной группы. Исследователи искали отличия в периваскулярных пространствах — заполненных жидкостью промежутках, которые окружают кровеносные сосуды и очищают органы.

Помимо изменений в периваскулярных пространствах, учёные отслеживали поражение белого вещества, которое наблюдается только у людей, страдающих мигренью. Сканирование показало, что у страдающих от головных болей людей присутствуют значительные изменения в периваскулярных пространствах в пределах полуовального центра. 

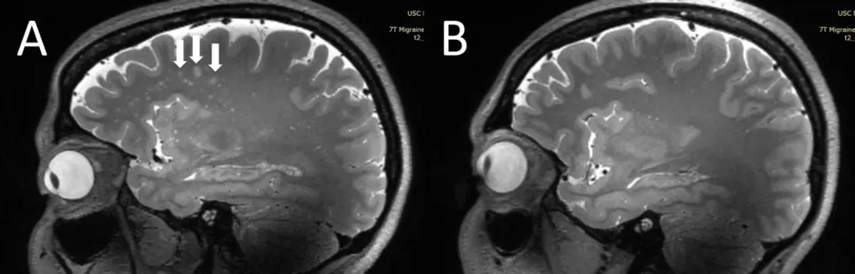
Стрелки указывают на гиперинтенсивность белого вещества, которая больше выражена в лобных долях при мигрени.
Стрелки указывают на гиперинтенсивность белого вещества, которая больше выражена в лобных долях при мигрени.© Wilson Xu

Как поясняют соавторы исследования, эти поражения белого вещества были в значительной степени связаны с наличием расширенных периваскулярных пространств. Это говорит о том, что изменения в периваскулярных пространствах приводят к поражению белого вещества, о чём ранее не было известно.

Учитывая физиологическую роль периваскулярных пространств, возможно, значительные изменения в их структуре могут нарушить глимфатическую систему. По сути, это означает, что мозг не может правильно себя промыть, что приводит к накоплению отходов, которые могут быть для него токсичными. Команда заключает, что это открытие поможет разработать новые способы диагностики и лечения мигрени.


  • Телеграм
  • Дзен
  • Подписывайтесь на наши каналы и первыми узнавайте о главных новостях и важнейших событиях дня.

Нам важно ваше мнение!

+33

 

   

Комментарии (1)

  • Семён Семёныч
    Семён Семёныч 25 ноября 2022

    Спасибо за статью! Огромная благодарность учёным за их работу. Мигрень очень сложное заболевание. Сегодня многие люди страдают от постоянных головных болей. Но есть хорошая новость. Библия заверяет нас, что скоро все болезни останутся в прошлом: «Бог вытрет слёзы с их глаз, и смерти больше не будет, ни скорби, ни рыданий, ни боли больше не будет. Всё, что было прежде, прошло». Сидящий на престоле сказал: «Я творю всё новое!» — и добавил: «Запиши, ведь эти слова правдивы и надёжны»

    Ответить
    0 +