+3
Сохранить Сохранено 7
×

Медики рассказали, почему опасно сдерживать чих


Медики рассказали, почему опасно сдерживать чих

© VisualHunt.com

Многие люди во время простуды или аллергии испытывают частые позывы чихнуть, но иногда, чтобы, например, не заражать окружающих, некоторые не просто закрывают рот руками, но и пытаются сдержать чих, зажав нос. Казалось бы, ничего страшного в этом нет, но медики рассказали, что такая практика может привести к повреждению глотки.

В новой статье, опубликованной в журнале BMJ Case Reports, Вандинг Янг рассказал о подобном случае разрыва глотки, который врачи называют спонтанной перфорацией.

В больницу поступил мужчина 34 лет с сильными болями в области горла и изменением голоса. Это началось после сильного чиха, когда мужчина попытался сдержать позыв чихнуть, зажав ноздри пальцами, но у него не получилось. 

После того как пациент чихнул, он почувствовал боль в горле, а потом обнаружил припухлость в области шеи. Но осмотр показал стабильное состояние пациента, признаков поражения легких обнаружено не было.

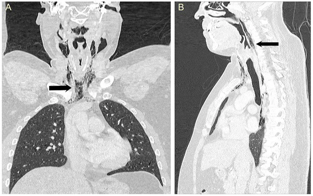
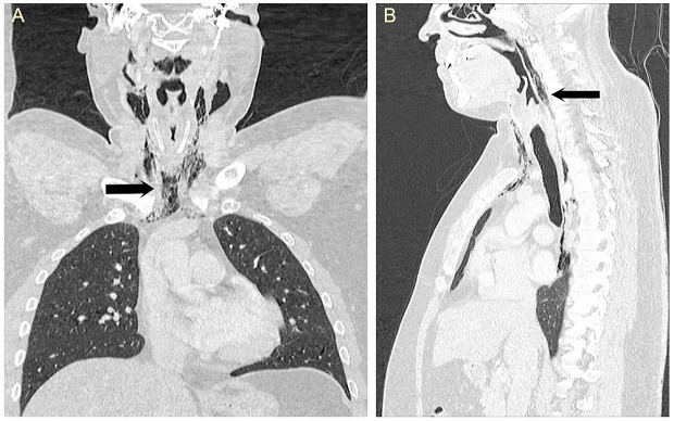
Пациенту сделали рентгенограмму, на которой врачи увидели чрезмерное скопление воздуха в мягких тканях шеи перед трахеей. Последующая компьютерная томография подтвердила образование большой эмфиземы в области шеи и грудной клетки. Тогда мужчине поставили диагноз «спонтанный разрыв пищевода».

Результаты компьютерной томографии шеи (B) и грудной клетки (A). На шее стрелкой указана эмфизема, в грудной клетке в районе позвонка T9 — эмфизема средостения

Wanding Yang, Raguwinder Sahota, Sudip Das, BMJ Case Reports, 2018

Молодого человека сразу же госпитализировали из-за риска распространения инфекции, и последующие дни он питался через трубку и принимал антибиотики для профилактики. Через неделю его состояние заметно улучшилось, и томограф показал ослабление эмфиземы мягких тканей.

Пациент перешел на диету из мягкой пищи, а позже его выписали из больницы, порекомендовав не сдерживать позывы чихать. В течение двух месяцев мужчина проходил обследования, но никаких осложнений врачи не обнаружили.

В больнице отметили, что такие повреждения обычно происходят из-за травм, а случаи спонтанной перфорации встречаются редко. Но все-таки это может произойти, если внезапно увеличить давление на вокальные складки, как в случаях кашля или рвоты — или чиханья, когда оба пути, рот и нос, заблокированы. 

Спонтанный разрыв пищевода, который также называют синдромом Бурхаве, может представлять серьезную опасность и требовать агрессивного хирургического вмешательства, но в случае мужчины осложнений не было и диагноз поставили довольно рано.

Обычно распознать синдром Бурхаве достаточно трудно на ранних стадиях, поэтому авторы работы призывают своих коллег внимательно относиться к пациентам, которые жалуются не только на неприятные ощущения в горле, но и на боль в груди.

Медики напоминают, что практика зажимать рот и нос, чтобы не чихать, является опасной и делать этого не следует. Такая привычка может привести к аномальному скоплению воздуха в отделах грудной полости, перфорации барабанной перепонки и даже разрыву аневризмы головного мозга.

  • Телеграм
  • Дзен
  • Подписывайтесь на наши каналы и первыми узнавайте о главных новостях и важнейших событиях дня.

Нам важно ваше мнение!

+3

 

   

Комментарии (1)

  • Про
    Про 17 января 2018

    Кто чихнет с отрытыми глазами, получит приз. ))

    Ответить
    0 +