+33
Сохранить Сохранено 7
×

Благодаря мощному МРТ-сканеру было разработано новое лечение болезни Паркинсона


Благодаря мощному МРТ-сканеру было разработано новое лечение болезни Паркинсона

© Shutterstock

Как болезнь Паркинсона, так и связанное с ней расстройство под названием прогрессирующий надъядерный паралич (ПНП), являются прогрессирующими заболеваниями головного мозга, которые не только влияют на передвижение пациента, но и нарушают его мотивацию и мышление. До сих пор было очень трудно лечить такие состояния.

Однако исследователи из Кембриджского университета (Великобритания) доказали, что сверхмощные МРТ-сканеры 7T позволяют выявлять тех пациентов с болезнью Паркинсона, которые особенно нуждаются в новых методах лечения самых тяжелых симптомов.

Чтобы понять причины возникновения когнитивных симптомов у пациентов, ученые использовали новый МРТ-сканер сверхвысокой мощности с разрешением 7Т для измерения мозга людей с болезнью Паркинсона или ПНП.

Люди с болезнью Паркинсона часто страдают от потери мотивации и воли к жизни.

Люди с болезнью Паркинсона часто страдают от потери мотивации и воли к жизни.

© Shutterstock

Особое внимание исследователи обратили на дефицит норадреналина — химического вещества, которое играет решающую роль в таких функциях мозга, как внимание, мышление и мотивация. Всё дело в том, что часто пациентов с болезнью Паркинсона лечат компенсаторами дофамина, однако в случаях, когда у человека развивается дефицит норадреналина, они не помогают.

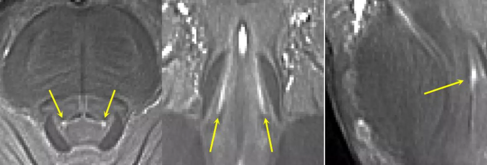
Команда сфокусировалась на исследовании голубого пятна, — ядра, расположенного в стволе мозга, потому что некоторые люди с болезнью Паркинсона теряют до 90% голубого пятна, которое и вырабатывает недостающий норадреналин.

Обычные больничные томографы «не видят» голубое пятно, но с этим хорошо справился новый МРТ-сканер, который обеспечивает разрешение размером с песчинку. Сканер позволил команде изучить голубое пятно испытуемых и подтвердить, что, чем сильнее повреждения этой области, тем тяжелее проявляются симптомы апатии у пациентов.

олубое пятно на МРТ-сканере 7T.

Голубое пятно на МРТ-сканере 7T.

© Кембриджский университет

Полученные данные проливают свет надежды на новые методы лечения болезни Паркинсона. Так, ряд препаратов, повышающих уровень норадреналина, уже прошел клинические испытания при других состояниях, и было показано, что они безопасны и хорошо переносятся. Чем больше повреждения голубого пятна, обнаруженного на новом сканере — тем больше пользы принесут эти препараты.

Авторы исследования заключают, что сверхмощный 7T-сканер может помочь определить тех пациентов, которые больше всего нуждаются в норадреналиновой терапии. Если лекарства окажутся эффективными, пациенты наконец смогут получить долгожданное облегчение своих симптомов.

  • Телеграм
  • Дзен
  • Подписывайтесь на наши каналы и первыми узнавайте о главных новостях и важнейших событиях дня.

Нам важно ваше мнение!

+33

 

   

Комментарии (0)