10+ удивительных фактов, которые кажутся бредом, но на 100% правдивы
- 23 апреля 2020 15:56
- Ксения Куртукова, журналист «Ридуса», редактор раздела «Развлечения»
Наш мир полон загадочных и необъяснимых вещей, которые порой трудно осмыслить и в которые трудно поверить. Мы собрали для вас 12 фактов, которые кажутся настоящей чепухой, но на самом деле они на 100% правдивы. Можете проверить!
Эта информация не только вас удивит, но и заставит задуматься о многогранности окружающего мира.
В обществе у гиен преобладает тотальный матриархат. Самая низкоранговая самка всегда будет иметь статус выше, чем самый «доминантный» самец
Песок и верблюдов в Саудовскую Аравию импортируют из Австралии
У мертвых людей кожа может покрываться мурашками
Пару лет назад на NASA подали в суд трое мужчин из Йемена за «незаконное проникновение на Марс». Они заявляли, что унаследовали планету от своих предков
С 31 октября 2000 года в космосе непрерывно находятся люди
В 1919 году в Бостоне патока убила 19 человек. Это случилось после взрыва резервуара, который содержал более двух миллионов галлонов патоки
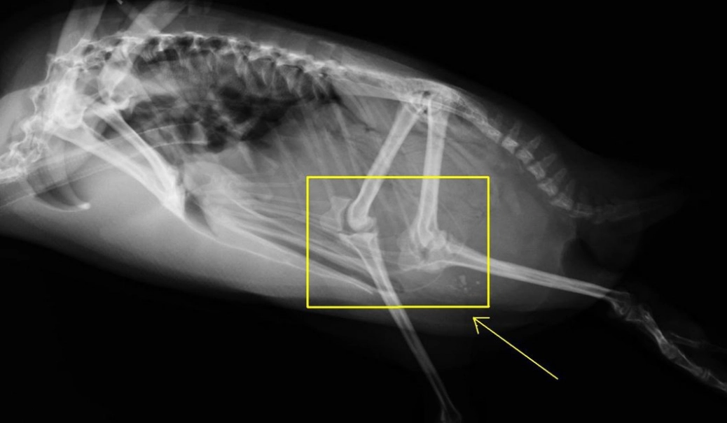
У пингвинов есть колени
Если вы старше 25 лет, то примерно 1/3 людей, которые были живы во время вашего рождения, сейчас мертвы
Когда в 1960 году Coca-Cola впервые вышла в банке, то на упаковке была изображена знаменитая контурная бутылка. Это было сделано, чтобы покупатели легко могли узнать любимый напиток
Около 40% мужчин в СССР, родившихся в 1923 году, не пережили Вторую мировую войну
До наших дней сохранилось так мало мумий, потому что в эпоху Возрождения люди поедали части мумифицированных тел в качестве лекарств
В США каждый год регистрируется около 40 000 несчастных случаев, которые связаны с посещением туалета
Ранее «Ридус» перечислял крутые факты о разных странах мира, которых вы не знали.
- Телеграм
- Дзен
- Подписывайтесь на наши каналы и первыми узнавайте о главных новостях и важнейших событиях дня.












Войти через социальные сети: